Got the metal free crowns done with Dr.Kathuria in New Delhi.I really liked the results & more importantly, how painless it was. I was very impressed with the friendly nature of the whole staf...
Welcome to www.delhidental.com, the official website for Dr.Kathuria's Dentistry, New Delhi, India. Our's is a multispeciality dental setup in the heart of South Delhi. It has the unique advantage of being one of the NABH Accredited Dental Clinic of India. The dental clinic functions on the concept of providing expertise of the various specialists in dental surgery to provide the top most dental care to the patients. We specialize in all the basic & latest dental procedures including dental implants, teeth whitening, porcelain veneers, smile corrections, gap closures, fixed teeth, root canal treatment, gum surgery, braces, kids dentistry, laser dentistry, teeth cleaning, gummy smile correction metal free crowns/bridges, wisdom teeth extractions, dental X-rays etc.
Read more
E-143, East of Kailash, New Delhi, India
+91-9811026060, 9811776073, +91-11-26280184, 26217029
MON-SAT : 9:00AM - 7:00PM
USA ![]()
Australia ![]()
Canada ![]()
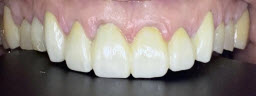
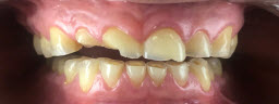
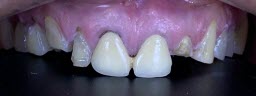
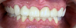
We specialize in all the latest dental procedures Including dental implants, to provide comfortable fixed teeth to the patients.

Got the metal free crowns done with Dr.Kathuria in New Delhi.I really liked the results & more importantly, how painless it was. I was very impressed with the friendly nature of the whole staf...

Kathuria in New Delhi, specially for my dental work including implant job. I must say that the speed & level of dental job at their clinic is at par , if not better than a lot of dentists in t...
We at Dr. Kathuria's Dentistry follow at the disinfection and sterilization procedures needed for infection control. We follow four tier sterilization protocol for non-disposable
Dr. Kathuria’s Dentistry is now accredited by the National Accreditation Board for Hospitals & Healthcare Providers (NABH)
If you are living in Europe or America any kind of medical treatment for you is frightfully expensive at home. So, India is the place to go and get the treatment done for you and after that you can enjoy a lovely sightseeing holiday through exotic India.
© 2020 Dr. Kathuria's Dentistry, New Delhi. All Rights Reserved.
Powered By : UNICODE

